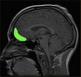
Some people are hard-wired to be addicts even before they touch alcohol or drugs, according to the findings of a recent study of teenage brains. In the largest brain-imaging study ever performed, scientists at the University of Vermont made MRI scans of the brains of 1,900 14-year-olds, while asking them to perform repetitive tasks and then stop mid-way through. (The same test, when used to measure inhibitory control in adults, has found that people who abuse drugs and alcohol generally perform poorly.) The scientists were able to isolate one area of the brain—the “orbitofrontal cortex”—that’s responsible for impulse control. The teenagers with less MRI-indicated functionality in this region showed poorer impulse control—and these teens were more prone to early experimentation with alcohol, cigarettes and illegal drugs. “These networks are not working as well for some kids as for others,” says study leader Dr. Robert Whelan. His co-researcher Hugh Garavan notes, “The differences in these networks seem to precede drug use.” So these findings suggests the possibility of identifying addictive tendencies early on, simply by looking at someone’s brain. “While identifying those at greatest risk of addiction is a complex process with many different factors involved, identifying brain networks specific to impulse control represents the first step,” says Whelan. Previous research on young people suggests that addictive behaviors tend to kick in early; more than 15% of teenagers meet the criteria for substance abuse by age 18.
Trending
- Best Luxury Drug Rehabs in Malibu: Top Centers, Privacy & How to Choose
- Carrara Treatment
- Divine House
- No Drug Dealers Allowed
- New Data Show Disturbing Racial Disparities in Combined Opioid-Cocaine Overdose Rates
- The Heart of the Matter: Substance Use Disorder and Heart Health
- The Case for Codependency… With a Rescue Dog
- Hard Conversations: Talking With a Loved One About Their Drinking