
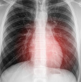
In a last-ditch effort to save a dying man’s life, doctors turned to booze—and it worked. A 77-year-old British man named Ronald Aldom is doing “fantastically well” since his unusual heart rhythm was treated successfully with pure ethanol (the same substance found in alcoholic drinks). When other treatments had failed the ailing patient, his physician Dr. Tom Johnson stuck a catheter into a blood vessel located in the groin, and began pumping the pure ethanol towards the heart. This caused a controlled heart attack which destroyed the other tissue that was responsible for the irregular heartbeat. “He wasn’t going to leave hospital unless something was done,” says Johnson. “There was no other option.” It was the doctor’s first time using this method to treat Ventricular tachychardia (VT), which starts in the lower ventricles and can be fatal if left untreated. The rare procedure, which is generally used only as a last resort, is not routine in the US since the effects of the ethanol shot can be difficult to manage. “This is something you have to do electively,” says Dr. Richard Page, chairman of the department of medicine at the University of Wisconsin School of Medicine and Public Health. “This is not something you do on the fly in the middle of a cardiac arrest.” Regardless of the risks, Aldom is grateful to be recovering, and credits the unorthodox treatment with saving his life. “I think it’s wonderful that the doctors tried everything to help me,” he says. “If they hadn’t had done this I wouldn’t be here now.”